أعلن الدكتور دميتري ديمينتيف، أخصائي طب وجراحة العيون، أن العين كما يقولون مرآة الروح، ولكن القليلين يعلمون أن العين هي...
ألغت شؤون الطيران المدني بالبحرين الفحص المخبري لفيروس كورونا عند الوصول لمطارها الدولي، وكذلك إلغاء الحجر الصحي الاحترازي لجميع المسافرين...
تمتلئ الدهون الحشوية بين أعضاء البطن، ويتعلق "أحد الحلول السريعة" للمساعدة في التخلص منها، الذي وصفته أخصائية الغدد الصماء...
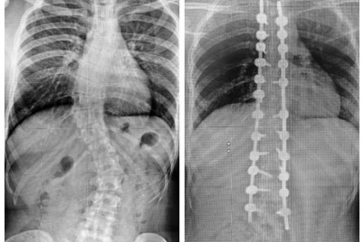
أنهى فريق طبي بمستشفى الدكتور سليمان الحبيب بالقصيم، معاناة شابة تبلغ من العمر 18 سنة، كانت تعاني من انحراف...
يُعرف مرض الكبد الدهني غير المرتبط بالكحول (NAFLD)، بأنه مصطلح شامل لعدد من الحالات التي يسببها تراكم الدهون في الكبد....
أعلنت الدكتورة يكاتيرينا بورلايفا، خبيرة التغذية الروسية، أن اللكتين يمكن أن يشكل خطورة في حالة أمراض الجهاز الهضمي. وتشير الخبيرة...
أظهرت نتائج دراسة جديدة أمانة الاستخدام المشترك للقاحي "أسترازينيكا" و"سبوتنيك لايت" المضادين لفيروس كورونا، وفق ما أورد الصندوق الروسي...
تأكيداً لما تبذله المديرية العامة للشؤون الصحية بمنطقة الرياض من جهود متميزة ومهام وأدوار صحية تنموية ومهنية تنطلق من رؤية...
أعلنت وزارة الصحة، اليوم الثلاثاء 15 فبراير 2022، تسجيل 1982 حالات إصابة جديدة بفيروس كورونا الجديد (كوفيد-19)، ليصبح الإجمالي...
تجاوز عدد لقاحات كورونا المعطاة بدول مجلس التعاون الـ 107 ملايين جرعة، فيما بلغت نسبة التعافي من الفيروس بالسعودية...
الحدث - خلال اليزيدي أشاد مجلس الصحة الخليجي في بيان صادر اليوم الثلاثاء، بالجهود والمنجزات الطبية التي حققتها وزارة...
أعلنت وزارة الصحة، اليوم (الإثنين)، تسجيل 2227 إصابة جديدة مؤكدة بفيروس كورونا المستجد (كوفيد 19)، ليرتفع إجمالي عدد الحالات في...