الحدث - طاهر الجعيدان دشنت جمعية المواساة الخيرية بالقارة حملة التبرع بالدم تحت شعار "كل قطرة بنبضة" بالتعاون مع تجمع...
حذرت وزارة الصحة، اليوم الثلاثاء، من تجاوز الحد المسموح به في تناول المشروبات التي تحتوي على الكافيين. وأضافت الوزارة،...
الحدث- طاهر الجعيدان تنظم جمعية المواساة الخيرية للخدمات الاجتماعية بالقارة غداً الخميس ولمده يومان، بالتعاون مع التجمع الصحي بالأحساء...
القريات - سعد حمد الشمري أقام مركز التنمية الاجتماعية بمحافظة القريات محاضرة توعوية بعنوان ( الإسعافات الأولية ) بالشراكة مع...
الحدث - جدة استعرض المركز الوطني لتعزيز الصحة النفسية عدداً من المشاريع الإبداعية التي سيعمل على تنفيذها خلال عام 2024،...
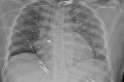
تمكن فريق مسار الإصابات بتجمع الرياض الصحي الأول من إنقاذ حياة مقيم؛ أصيب بطلقة نارية في منطقة الصدر. وفي...
أعلن تجمع الجوف الصحي عن استفادة قرابة 15943 ألف مريض من خدمات مراكز الرعاية الصحية العاجلة خلال الشهرين الماضيين،...
نجح تدخل طبي عاجل نفذه أطباء جراحة المخ والأعصاب في مستشفى الملك سعود بعنيزة عضو تجمع القصيم الصحي مريضا...
قال مدير عام الالتزام للمؤسسات الصحية الخاصة في وزارة الصحة عبد المحسن العتيبي، إن ضوابط الزي الرسمي في مكان العمل...
ابتكر باحثون في جامعة جيجيانغ الصينية أنسولين “ذكيا” بطيء الإطلاق يستجيب لمستويات السكر في الدم لتوفير التحكم لمدة أسبوع...
الحدود الشمالية - باسمة الضويمر تطلق جمعية "حياة" لسرطان الثدي في مدينة عرعر برنامج تأهيل وتدريب مثقفات سرطان الثدي في...
كشفت منظمة الصحة العالمية، عن أرقام صادمة لفيروس كورونا، محذّرة من أن الفيروس لا يزال ينتشر ويتحوّر ويتسبّب في...