الحدث - محمد العتيق تمكنت وحدة الأمراض الصدرية لدى الأطفال في مستشفى الولادة والأطفال ببريدة من إنقاذ حياة طفلة تبلغ...
اختتمت جامعة الملك عبدالعزيز اليوم، أعمال المؤتمر السنوي التاسع المستجدات في أمراض الروماتيزم، الذي نظمته الجمعية العلمية السعودية للطب...
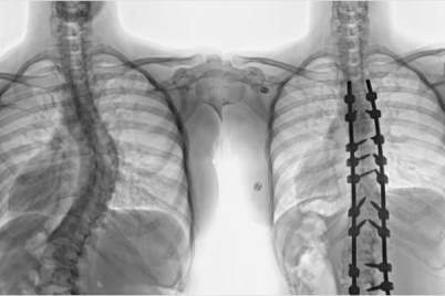
بفضل من الله تعالى وتوفيقه، أنهى مستشفى الدكتور سليمان الحبيب بالقصيم، معاناة شابة عشرينية مصابة بانحراف مضاعف ومتطور في...
فعّل تجمع الحدود الشمالية الصحي برنامج تخطيط كهرباء الدماغ، بمستشفى محافظة رفحاء المركزي وذلك بالتعاون مع مستشفى صحة الافتراضي Tele...
تحذير جديد أطلقته منظمة الصحة العالمية، خلال الساعات الماضية، بشأن المتحور الجديد لفيروس كورونا JN.1، الذي بدأ في التصاعد...
أعلنت منظمة الصحة العالمية أن 9 مرافق صحية فقط تعمل بشكل جزئي في جنوب قطاع غزة من بينها ثلاثة...
الحدث - محمد العتيق نجح تجمع القصيم الصحي وعبر تفعيل مبادرة " مسار العظام" والتنسيق المشترك بين المستشفيات التابعة...
تمكن الفريق الطبي المتخصص في جراحة السمنة بمركز الأمير فيصل بن مشعل لعلاج وجراحة البدانة بمستشفى بريدة المركزي من...
أظهرت إحصائيات مركز العيون في مستشفى الملك سعود بعنيزة أحد مكونات تجمع القصيم الصحي أن عدد المستفيدين من خدمات...
أوضحت وزارة الصحة، اليوم الأحد، مزايا الحصول على لقاح الإنفلونزا الموسمية. وأضافت الوزارة، عبر منصة (إكس)، أن اللقاح يعمل...
تحت رعاية معالي وزير الصحة الأستاذ فهد بن عبدالرحمن الجلاجل، كرّمت وزارة الصحة أمس، الفائزين بجائزة وزارة الصحة للتطوع...
نجح أطباء مستشفى الملك سعود بعنيزة أحد مكونات تجمع القصيم الصحي بإنقاذ مريض من انحشار الطعام بعد إحضاره بواسطة...