تحتاج الحالات الصحية عمومًا إلى المراقبة والعلاج لتقليل خطر حدوث مضاعفات، لكن هناك من يسمون بـ “القتلة الصامتين” الذين...
تمكن اختصاصيو الجراحة ومساعدوهم من الطواقم الطبية والفنية والتمريضية في مستشفى بريدة المركزي من إنجاز أكثر من 8 آلاف...
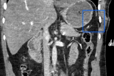
القلب هو محرك الجسم، فهو يرسل الدم إلى الجسم كله لجعل كل عضو يعمل بشكل صحيح، وتعتمد صحة...
تمكن مستشفى الإيمان العام عضو تجمع الرياض الصحي الأول من إنقاذ حياة شاب عشريني تعرض لإصابة في الجهة اليسرى...
أجرت وزارة الصحة أكثر من 32 ألف جلسة غسيل كلوي في منطقتي عسير والباحة ومحافظة الطائف, وذلك منذ بداية موسم...
كشفت شبكة (سكاي نيوز) البريطانية، أن عقاراً جديداً قيد التطوير منذ 20 عاماً، ويخضع الآن للتجارب ما قبل السريرية...
توصلت دراسة حديثة إلى أن الحمض الدهني الذي تم اكتشافه مؤخراً في حليب الأم قد يساعد في عكس آثار الشلل...
نصح خبراء تغذية بالامتناع عن تناول 3 أنواع من الأطعمة لوقف تساقط الشعر، على رأسها تلك التي تحتوي على...
حائل - عبدالعزيز المعارك نجح فريق جراحي في المستشفى السعودي الألماني بحائل بقيادة الطبيب السعودي محمد السفياني، من إجراء عملية...
تمكّن باحثون في كلية “ديوك-نوس” الطبية بسنغافورة، من اكتشاف الأجسام المضادة التي يمكنها تحييد جميع أنواع فيروسات كورونا المعروفة...
نجحت وزارة الصحة بالتعاون مع مؤسسة البريد السعودي “سبل” من تنفيذ تجارب فرضية تمت قبل الحج للعام الحالي لنقل...
قالت دراسة جديدة، إن تناول جرعة منخفضة من الأسبرين لا يمنع النوع الأكثر شيوعاً من السكتة الدماغية بين كبار السن،...