الطائف - هلال اليزيدي افتتح مدير الشؤون الصحية بمحافظة الطائف سعيد القحطاني صباح اليوم الثلاثاء مركز الغسيل الكلوي بمستشفى تربه...
الجوف - سعد حمد الشمري تزامنا مع اليوم العالمي للسكري والذي يصادف ١٤نوفمبر من كل عام فعلت مؤسسة رعاية الفتيات...
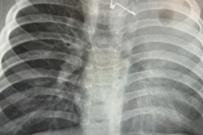
جدة - سلطان السلمي تمكّن فريق طبي جراحي بمستشفى الملك عبدالعزيز بجدة، من إزالة جسم غريب علق في مرئ...
الأحساء - طاهر الجعيدان أقامت المؤسسة العامة للري بالتعاون مع مديرية الشؤون الصحية بالأحساء اليوم الاثنين الموافق 14 نوفمبر2022م في...
الحدث - هلال اليزيدي تستضيف سلطنة عُمان الأسبوع القادم أعمال المؤتمر الوزاري العالمـي الثالث حول مـقاومة مضـادات الميكروبات الذي...
الجبيل - فيصل العوهلي في اطار تفعيل اليوم العالمي للسكري في الرابع عشر من نوڤمبر وإنطلاقاً من المسئولية المجتمعيه تم...
حائل - عبدالعزيز المعارك استقبل مخيم صحة حائل اليوم، عدد من الآباء كبار السن "كبار القدر والمقام" يرافقهم مدير دار...
مكة المكرمة - محمد العسيري افتتح مدير عام الشؤون الصحية بمنطقة مكة المكرمة الدكتور وائل بن حمزه مطير، المقر الأول...
الحدث - محمد العتيق أسهم – بفضل الله – التدخل السريع والناجح للفرق الطبية المتخصصة في مستشفى النبهانية العام...
الطائف - هلال اليزيدي نجحت صحة الطائف في اكتشاف (16) سيدة مصابة بسرطان الثدي في مراحله الأولى وتم تحويلهن جميعا...
الحدث - محمد العتيق بمشاركة أكثر من 400 مستشفى من 35 دولة مبادرة "قبس" لمرضى الجلطات القلبية الحادة بالقصيم تفوز...
كشفت وزارة الصحة اليوم الأحد، تسجيل 75 إصابة جديدة بفيروس كورونا المستجد، فيما رصدت تعافي 150 حالة، ووفاة واحدة.وأعلنت...