|

لاول مره في المملكة علاج ورم متقدم بتقنية القسطرة العلاجية الإشعاعية 

الكاتب : الحدث 2022-06-22 01:56:44

 

الرياض - منيفة الشمري 

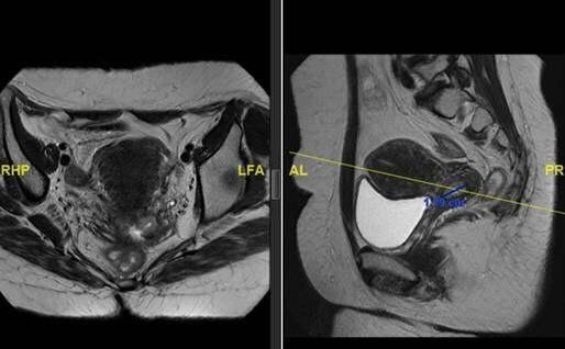
تمكن فريق طبي في مدينة الملك فهد الطبية إحدى مكونات تجمع الرياض الصحي الثاني من إدخال المعالجة الحديثة و استحداثها لأول مرة في المملكة لعلاج ورم متقدم في عنق الرحم يبلغ حجمه تقريبا 8 سم لمريضة في العقد الخامس من عمرها باستخدام التقنية الحديثة بمساعدة العلاج الإشعاعي التداخلي المعقد  انترستيشيل 
براكي ثيربي  InterstitialBrachytherapy 
وتعد أول تقنية في منطقة الشرق الأوسط. 

وأوضح رئيس الفريق المتخصص في العلاج الإشعاعي التداخلي المعقد  الاستشاري سعد الرشيدي أن هذه التقنية تستخدم لمعالجة أغلب أورام النساء  المعقدة وخاصة عند رجوعها  في الحوض بما فيها الأورام المتقدمة جدا حيث يتم زرع القسطرة داخل الورم لإيصال جرعات إشعاعية عالية للقضاء على الورم والتي لا تتم بالطريقة التقليدية. 

وأضاف د. الرشيدي أن هذه التقنية تحتاج إلى تدريب عالي الدقة ولا توجد حاليا إلا في دول شمال أمريكا و أوروبا وتحتاج المعالجة بهذه التقنية إلى مركز متكامل ومتخصص بهذا العلاج حيث يتم تقييم المريض في العيادة ومن ثم عمل الفحوصات الأشعات التي تتضمن الرنين المغناطيسي ويبدأ المريض في العلاج الإشعاعي الخارجي والكيماوي لعدة جلسات تتبعها هذه التقنية الحديثة.

وبين أن الجرعات التي تعطى أثناء العلاج عالية جدا تساهم في السيطرة على الورم بأكثر من 80% إلى 90% مع نسبة أعراض جانبية قليلة جدا  لافتاً إلى أن العلاج الإشعاعي بهذه التقنية الحديثة يستغرق من ساعتين إلى ٣ ساعات. 

الجدير بالذكر أن الفريق الطبي ضم الاستشاري سعد الرشيدي رئيس الفريق والاستشارية ريم العمران ومن الفيزياء الطبية الدكتور مختار الشنقيطي والدكتور محمد الأسود والأخصائية صفا المحسن