|

‏ "الإيمان العام" ينقذ شاب من إصابة بليغة في الصدر

الكاتب : الحدث 2023-08-10 02:28:28

 

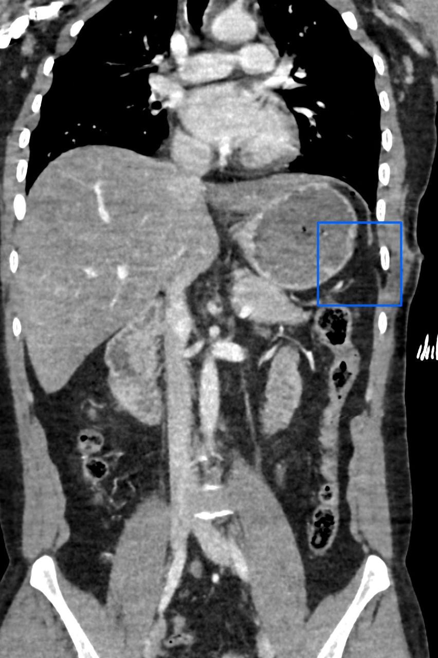
تمكن مستشفى الإيمان العام عضو تجمع الرياض الصحي الأول من إنقاذ حياة شاب عشريني تعرض لإصابة في الجهة اليسرى من الصدر؛ أدت إلى حدوث قطع في الحجاب الحاجز، وثقب في القولون المستعرض.

حيث قام الفريق الطبي بقيادة رئيس قسم الجراحة العامة استشاري الجراحة والمناظير د. سعد الدوسري، واستشاري الجراحة العامة د. ريان الحوشان بإجراء جراحي عاجل تم خلاله إصلاح الإصابات المذكورة عن طريق المنظار الجراحي عبر ثلاثة فتحات صغيرة بحجم 5 مم، تكللت بالنجاح -ولله الحمد-.

الجدير بالذكر أن مثل هذه الإصابات عادة يتم إجراؤها عن طريق الشق الكامل للبطن، ولكن إستطاع الفريق الطبي بمستشفى الإيمان العام تفاديه -بتوفيق من الله-؛ حيث ساهمت خبرة الفريق الطبي وتوفر الإمكانيات والتقنيات الحديثة في المستشفى من إجراء العملية وفق أفضل الممارسات الطبية والتي ساهمت بتحسن حالة المريض في فترة وجيزة -ولله الحمد-.